
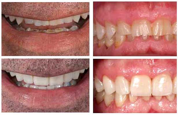
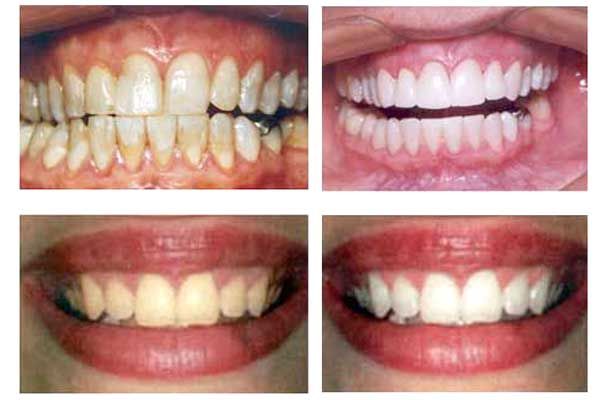
TAN SENCILLO COMO
UNA SONRISA

Aviso de publicidad
Judith Hernández Zárate
Número de Cédula: 2855807 Profesión: Cirujano dentista Institución: Universidad Autónoma de Baja California
AMEX
Cheque
Depósito
Efectivo
Mastercard
Paypal
Transferencia
Vales
Visa
Tarjeta de Crédito
Tarjeta de Débito
Oxxo
SPEI
Claro pay
Samsung pay
CoDi
Apple pay
Baz
Mercado pago
Seven Eleven
Carnet
Engage ---